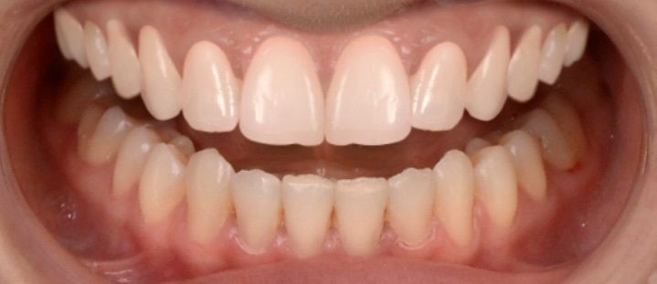
Las carillas dentales son un tipo de tratamiento altamente estético, que consiste en la colocación de unas finas láminas sobre la parte delantera del diente.
En nuestra clínica trabajamos dos tipos de carillas: cerámicas y de composite.
Las carillas cerámicas (disilicato de litio), las trabajamos con un método llamado first fit, mínimamente invasivo, guiado digitalmente, con diseño de sonrisa y con unos resultados de máxima precisión y estética.
En tres citas, sin tallados, sin provisionales y mostrándote los resultados antes de colocar el tratamiento.
Son muy duraderas, no se manchan y quedan muy muy naturales.
Con las carillas podemos modificar: forma, tamaño, color y cerrar espacios. Todo ello previa valoración con el especialista.
Las carillas de composite, las hacemos con un método muy parecido al anterior.
Con un estudio en 3D, haciendo un diseño de sonrisa, totalmente personalizado, sin tallado, sin provisionales.
La diferencia está en el material.
El composite es un material poroso que, dependiendo de nuestros hábitos de comidas, bebidas, tabaco,…pueden teñir este material y también, son más frágiles, por lo que tienen algunas limitaciones a la hora de comer alimentos duros o crujientes, morderse las uñas, … Para esto se hacen mantenimientos anuales de pulidos y limpiezas.
Ambas son muy buenas elecciones estéticas y con muy poco o ningún desgaste de los dientes, por lo que son tratamientos totalmente reversibles.
También necesitarán de una valoración previa con el especialista.
















