La estética dental tiene como objetivo no sólo mejorar dientes y encías, sino que esos cambios se integren con los rasgos faciales de cada paciente.
Con los métodos utilizados en odontología estética, además de solucionar problemas de salud oral, conseguimos armonizar la dentadura en el conjunto de la boca.
La percepción que tengan los demás de ti va a depender en gran medida del estado de tu boca y de lo que le muestre sonriendo.
Cuáles son los tratamientos más utilizados en estética dental:
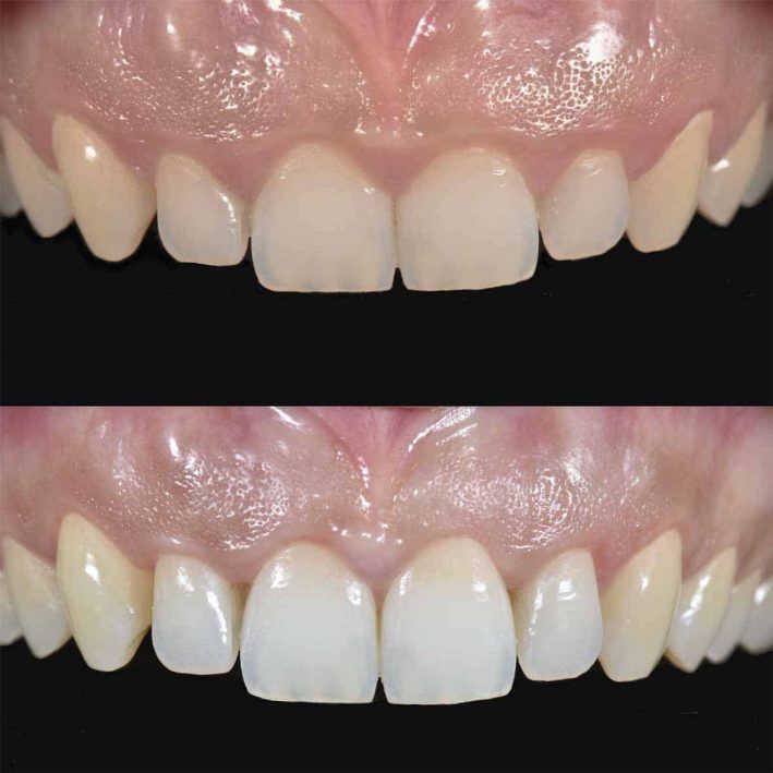
CARILLAS DENTALES: de cerámica o composite. Son unas láminas muy finas que se colocan sobre la superficie visible del diente para solucionar problemas de posición, color, deformación o tamaño. Son técnicas rápidas y prácticas.
BLANQUEAMIENTO DENTAL: el paso del tiempo, ciertos medicamentos, el consumo de tabaco, café, té, ... amarillean los dientes. El blanqueamiento dental ayuda a recuperar el color blanco natural.
GINGIVECTOMIA: es una técnica de cirugía periodontal que ayuda a reducir y modelar las encías, logrando así que sean armoniosas y proporcionales.
RECONSTRUCCIONES ESTÉTICAS: es la solución para fracturas o caries. Además, también corrige problemas estéticos como separaciones o deformaciones dentales. En estos casos se utilizan composites estéticos para que el resultado sea impecable.
CORONAS O FUNDAS DENTALES: se colocan sobre dientes dañados para recuperar su funcionalidad y estética, también sirven para reponer piezas, es el caso de los puentes, donde se usa como pilares los dientes próximos a la ausencia y el que falta se apoya en ellos y en la encía. La calidad de estos materiales, el color y la forma, serán clave para que se integren con el resto de las piezas naturales del paciente.








