Implantes de alta gama certificados internacionalmente.
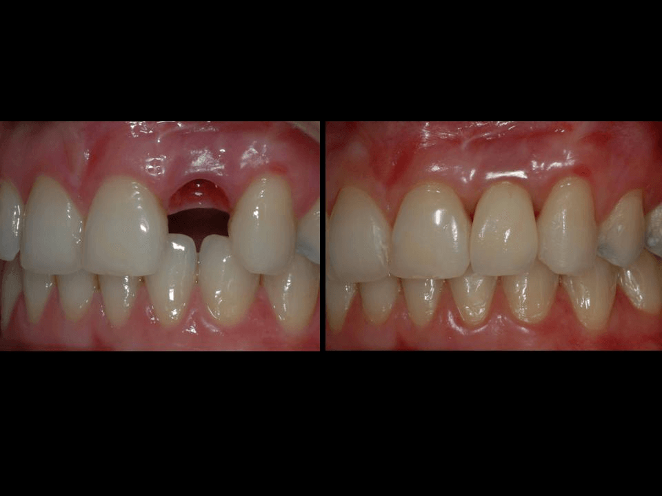
La reposición de dientes con implantes es el tratamiento más eficiente para recuperarlos. No dañamos los dientes vecinos y es totalmente fijo, con esto obtenemos lo más parecido a nuestros dientes naturales.
En manos de nuestro cirujano oral, J.M. Rufete , y con la garantía y seguridad que aporta la experiencia y el conocimiento.
Te daremos el diagnóstico, las opciones y las facilidades para que vuelvas a sonreír y a comer.
Pide hoy mismo tu cita en el 856928273 / 623 20 88 88













